Panier

Total

Votre panier est vide !

Valider la commande Continuer votre navigation
Inscription

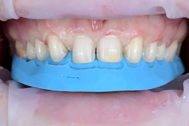
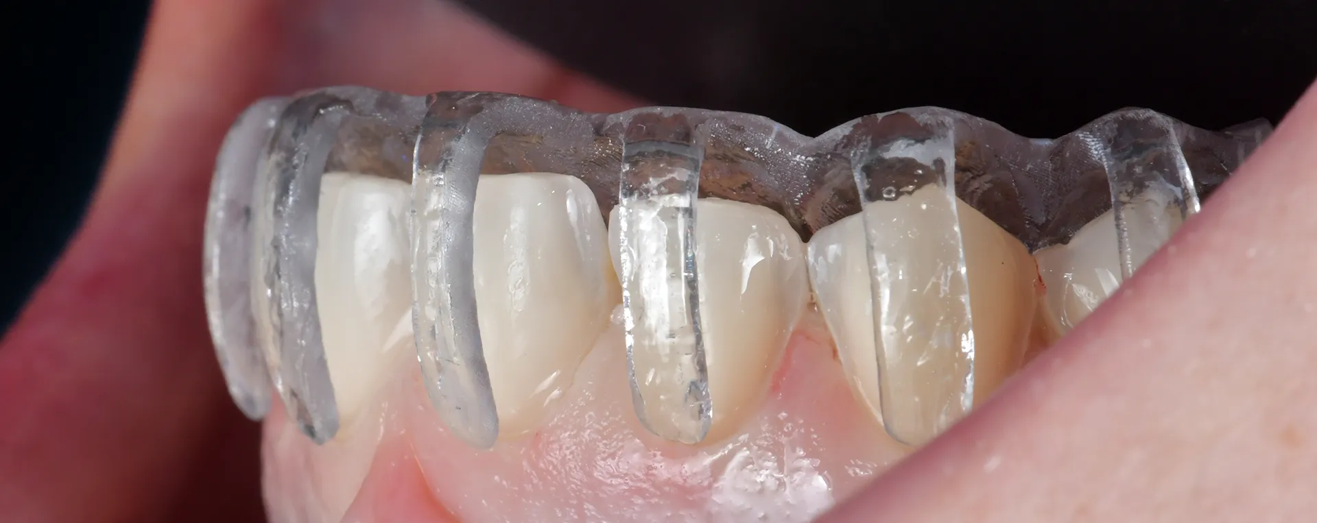
Facettes en céramique

Lieu

Objectifs

• Mener une analyse esthétique précise
• Identifier les éléments pertinents qui contribuent à l’esthétique à l’échelle dento-gingivale
• Définir les indications et contre-indications des facettes en céramique
• Connaitre les démarches du projet esthétique, du wax up, et des clés de préparation
• Connaitre les matériaux à utiliser au laboratoire et leur traitement de surface
• Maitriser les préparations pour facettes dans différentes situations cliniques
• Connaitre et appliquer le protocole de collage étape par étape

Programme

Délais & Modalités d'accès

  • En présentiel
  • La formation est ouverte à l’inscription tout au long de l’année, au plus tard 15 jours avant le début de chaque session
  • L’accès à la formation dépend du nombre de places encore disponibles
  • Inscriptions en ligne ou en nous contactant directement.

Méthodes mobilisées

  • Évaluation des besoins et du profil du participant
  • Apports théoriques
  • Travaux Pratiques
  • Trucs & Astuces, retours d’expériences

Prérequis

  • Être chirurgien dentiste
  • Être assistant.e dentaire

Accessibilité

Pour tout besoin spécifique en matière de handicap, nous vous invitons à nous contacter directement afin d’étudier les possibilités pour suivre la formation.

Modalités d'évaluation

  • Des évaluations sont réalisées tout au long de la formation sous forme de mises en pratique.
  • Une évaluation est réalisée à la fin de la formation afin de vérifier vos connaissances et de valider vos acquis (sous forme de QCM).

Statistiques

  • Entre novembre 2023 et janvier 2024, le nombre de stagiaires pour l’ensemble des formations dispensées sur la partie « Dentisterie Esthétique » est de : 8.
  • Entre novembre 2023 et janvier 2024, le taux de satisfaction pour l’ensemble des formations dispensées sur la partie « Dentisterie Esthétique » est de : 100% (50% de réponses).
  • Entre novembre 2023 et janvier 2024, le taux de réussite pour l’ensemble des formations dispensées en 2023 sur la partie « Dentisterie Esthétique » est de : 100%
  • Entre novembre 2023 et janvier 20243, le taux d’assiduité pour l’ensemble des formations dispensées en 2023 sur la partie « Dentisterie Esthétique » est de : 100 %

Dr Marie Clément

Éclaircissement dentaire : nouvelle tendance?

Depuis quelques années, les traitements d’éclaircissement dentaire sont de plus en plus présents. Mais alors, est-ce qu’il s’agit d’une nouveauté ? Pourquoi la demande augmente-t-elle ? Et en tant que praticien, comment communiquer sur ces traitements ? Volonté d’éclaircir son sourire : loin d’être une nouveauté Les techniques d’éclaircissement dentaire existent depuis plusieurs siècles, voire […]

« Digital Workflows » : La formation pluridisciplinaire en dentisterie

Dans le monde en constante évolution de la dentisterie, l’intégration des technologies digitales est devenue indispensable pour améliorer la précision, l’efficacité et la prédictibilité des plans de traitements. Nous verrons dans cet article pourquoi il est important de passer le cap du digital et comment s’y préparer. Pourquoi passer au digital ? Les arguments sont […]

DSD : Qu’est-ce que c’est ?

Le Digital Smile Design (DSD) est une méthodologie numérique initialement développée par le Docteur Christian Coachman. Il permet de simuler les objectifs de traitement esthétique à obtenir tant sur le plan fonctionnel qu’esthétique. Mieux comprendre le DSD Le DSD est une méthodologie qui commence par une analyse approfondie du visage, de la bouche et des […]

Formation initiale 2023 : Votre tremplin en Implantologie

En mars 2023, une nouvelle page s’est tournée chez DCO avec le lancement du tout premier cycle de formation initiale en implantologie, dirigé par le Docteur Renaud Noharet. Nos 12 participants ont entrepris une formation enrichissante de 8,5 journées au cabinet du Dr. Noharet, découvrant ainsi les aspects fondamentaux de cette discipline fascinante. Retour sur […]

PROCHAINES DATES :

23 & 24 janvier 2025

Bientôt de retour

2 & 3 octobre 2025

Bientôt de retour

Digue & Composites

PROCHAINES DATES :

20, 21, 22 mars 2025

Bientôt de retour

DWF Digital Workflows

PROCHAINES DATES :

19 juin 2025

Bientôt de retour

19 juin 2026

Éclaircissement & Traitement des tâches

PROCHAINES DATES :

27 mars 2025

Bientôt de retour

20 juin 2025

Bientôt de retour

Inlay Onlay Overlay