Panier

Total

Votre panier est vide !

Valider la commande Continuer votre navigation
Inscription

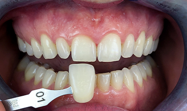
Les bases de la photo

Lieu

Cabinet Dr Noharet
12 Quai du Général Sarrail, 69006, Lyon

Objectifs

  • Acquérir les bases générales et spécifiques de la photographie dentaire,
  • Utiliser son propre matériel ou être conseillé pour s’équiper,
  • Savoir régler vos équipements,
  • Mettre en oeuvre des protocoles photo / vidéo au quotidien

Programme

Lionel Montagnier

PROCHAINES DATES :

19 juin 2025

Bientôt de retour

19 juin 2026

Éclaircissement & Traitement des tâches

PROCHAINES DATES :

20, 21, 22 mars 2025

Bientôt de retour

DWF - Digital Workflows